Bestel nu en ontvang automatisch 20% korting! | Wereldwijde verzending.
Bestel nu en ontvang automatisch 20% korting! | Wereldwijde verzending.
Sturge-Weber Syndroom: Symptomen, Diagnose & Wat te Verwachten | Aspilon
12 mrt 2025
E-commerce

Sturge-Weber Syndroom: symptomen, diagnose en verwachtingen
Het Sturge-Weber syndroom (SWS) is een van de meest significante medische aandoeningen geassocieerd met een gezichts wijnvlek. Het is een neurocutane aandoening — wat betekent dat het zowel het zenuwstelsel als de huid beïnvloedt — en de ernst ervan varieert enorm, van heel mild en nauwelijks merkbaar tot ernstig en levensbeïnvloedend.
Dit artikel legt uit wat het Sturge-Weber syndroom is, hoe het zich ontwikkelt, wat de symptomen zijn, hoe het wordt gediagnosticeerd en wat het leven met deze aandoening inhoudt.
Wat is het Sturge-Weber Syndroom?
Het Sturge-Weber syndroom wordt veroorzaakt door dezelfde somatische GNAQ-genmutatie die verantwoordelijk is voor wijnvlekken. Wanneer deze mutatie zeer vroeg in de foetale ontwikkeling optreedt, kan het niet alleen de huidbloedvaten beïnvloeden, maar ook de ontwikkeling van bloedvaten in nabijgelegen structuren die uit dezelfde embryonale weefsellaag afkomstig zijn — specifiek het oog en het oppervlak van de hersenen.
Het resultaat is een triade van potentiële afwijkingen: een gezichts wijnvlek, abnormale bloedvaten op het hersenoppervlak (leptomeningeale angioma) en verhoogde oogdruk (glaucoom). Niet elke persoon heeft alle drie — SWS bestaat op een spectrum.
Er wordt geschat dat SWS 1 op de 20.000 tot 50.000 levende geboorten beïnvloedt. Het treft mannen en vrouwen gelijk en heeft geen raciale voorliefde.
De Drie Types van Sturge-Weber Syndroom
Type 1 — Klassiek SWS
De meest voorkomende vorm. Omvat gezichts PWS, leptomeningeale angioma (abnormale vaten op het hersenoppervlak) en mogelijke glaucoom of choroïdale oogbetrokkenheid. Aanvallen beginnen meestal binnen het eerste levensjaar. Ontwikkelingsstoornissen kunnen zich ontwikkelen.
Type 2
Inclusief gezichts PWS en mogelijk glaucoom, maar zonder bevestigde hersenbetrokkenheid. Symptomen kunnen hoofdpijn en migraine omvatten. Cerebrovasculaire afwijkingen kunnen nog steeds aanwezig zijn zonder het klassieke leptomeningeale angioma patroon.
Type 3
Hersenangioma betrokkenheid zonder gezichts PWS en zonder glaucoom. Deze vorm wordt alleen vastgesteld door hersenbeeldvorming, meestal wanneer een aanval of ander neurologisch symptoom onderzoek vereist.
Wat Is een Leptomeningeale Angioma?
De leptomeningen zijn de twee binnenste lagen weefsel die direct rond het hersenoppervlak wikkelen. In het Sturge-Weber syndroom groeien abnormale bloedvaten op deze membranen aan dezelfde kant van de hersenen als de gezichts wijnvlek. Deze vaten circuleren het bloed niet efficiënt, waardoor de zuurstoftoevoer naar het onderliggende hersenweefsel wordt verminderd.
Chronisch zuurstofgebrek hersenweefsel wordt elektrisch instabiel — wat aanvallen veroorzaakt — en begint uiteindelijk te sterven, leidend tot verkalking en verlies van hersenweefsel (atrofie). Dit is een progressief proces dat over jaren kan verergeren als aanvallen niet goed onder controle zijn.
Symptomen van Sturge-Weber Syndroom
A) Aanvallen
De meest voorkomende neurologische manifestatie. Aanvallen treffen ongeveer 75 procent van de SWS-patiënten, waarbij de meerderheid begint voor de leeftijd van 2. Ze beïnvloeden meestal één kant van het lichaam (contralateraal aan de hersenlaesie en de gezichts PWS). Aanvaltypes omvatten focale, tonische, atonische en myoclonische aanvallen. Tijdens een aanval kan de wijnvlek zichtbaar donkerder worden.
B) Stroke-achtige episodes
Tijdelijke episodes van spierzwakte, verandering van gezichtsveld en verwarring die lijken op beroertes maar worden veroorzaakt door vasculaire instabiliteit. Deze beginnen meestal voor de leeftijd van 2 en kunnen gedurende het leven terugkomen. Lage dosis aspirine wordt soms preventief gebruikt.
C) Hemiparese
Progressieve zwakte of verlamming aan één kant van het lichaam, zich ontwikkelend naarmate hersenweefsel in de loop van de tijd verloren gaat. De getroffen zijde is tegenovergesteld aan de gezichts PWS.
D) Cognitieve en ontwikkelingsgevolgen
Intellectuele beperking, ontwikkelingsvertragingen, leerstoornissen, ADHD en gedragsproblemen kunnen optreden. De ernst correleert sterk met aanval controle — individuen waarvan de aanvallen goed beheerd worden, hebben meestal aanzienlijk betere cognitieve resultaten.
E) Hoofdpijn en migraine
Terugkerende migraine is een erkend kenmerk, vooral in Type 2 SWS. Ze kunnen beginnen in de kindertijd of adolescentie.
F) Oogcomplicaties
Glaucoom, choroïdale hemangioma, netvliesloslating en gezichtsvelddefecten. Zie ons speciale artikel over wijnvlek en glaucoom voor volledige details.
G) Mond- en tandveranderingen
Gingivale hyperplasie, maxillaire overgroei, malocclusie en liphypertrofie komen voor in ongeveer 40 procent van de SWS-gevallen.
Hoe Wordt Sturge-Weber Syndroom Gediagnosticeerd?
SWS wordt gediagnosticeerd door klinische bevindingen te combineren met beeldvorming en specialistische evaluaties. De belangrijkste onderzoeken zijn:
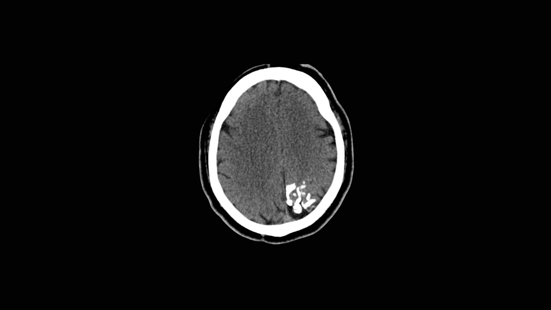
• MRI hersenen met gadolinium contrast — de definitieve test voor leptomeningeale angioma. Toont abnormale versterking op het hersenoppervlak, vergrote choroïdale plexus en na verloop van tijd, gyriforme verkalkingen en hersenatrofie
• CT-scan — het beste voor het detecteren van de kenmerkende gyriforme (spoorweg rails) verkalkingen
• EEG (elektro-encefalogram) — meet elektr activity brain; asymmetric slowdown and epileptic spikes on the affected side in SWS
• Oogheelkundige onderzoek — meting intraoculaire druk, beoordeling oogzenuw, fundus onderzoek voor choroïdale hemangioma
• Neurologische onderzoek — beoordeling motorische functie, cognitieve ontwikkeling en aanval geschiedenis
Behandeling en Management
Er is geen genezing voor Sturge-Weber syndroom. Alle behandeling is gericht op het beheren van specifieke symptomen en het voorkomen van complicaties.
• Anti-aanval medicijnen — de primaire behandeling voor epilepsie in SWS. Doel is volledige controle over aanvallen om cognitieve achteruitgang te voorkomen
• Chirurgie — voor medicijn-resistente epilepsie kunnen focale resecties of hemisferectomie overwogen worden.
• Lage dosis aspirine — gebruikt bij sommige patiënten om stroke-achtige episodes te verminderen
• Glaucoom behandeling — medicinale oogdruppels, laser of chirurgie afhankelijk van ernst
• Lasertherapie — gepulseerde kleurstoflaser voor de wijnvlek geboortevlek
• Fysiotherapie — voor hemiparese en motorische ontwikkeling
• Ondersteuning bij onderwijs — voor ontwikkelingsvertragingen en leerstoornissen
• Psychologische ondersteuning — voor geestelijke gezondheid, gezien de aanzienlijke psychologische last
Belangrijk Een normale hersen-MRI op de leeftijd van één of ouder bij een kind met een PWS en zonder neurologische symptomen maakt significante hersenbetrokkenheid in de toekomst onwaarschijnlijk. Desalniettemin moet oogheelkundig toezicht voor glaucoom doorgaan ongeacht de bevindingen van hersenbeeldvorming. |
Sturge-Weber Syndroom: symptomen, diagnose en verwachtingen
Het Sturge-Weber syndroom (SWS) is een van de meest significante medische aandoeningen geassocieerd met een gezichts wijnvlek. Het is een neurocutane aandoening — wat betekent dat het zowel het zenuwstelsel als de huid beïnvloedt — en de ernst ervan varieert enorm, van heel mild en nauwelijks merkbaar tot ernstig en levensbeïnvloedend.
Dit artikel legt uit wat het Sturge-Weber syndroom is, hoe het zich ontwikkelt, wat de symptomen zijn, hoe het wordt gediagnosticeerd en wat het leven met deze aandoening inhoudt.
Wat is het Sturge-Weber Syndroom?
Het Sturge-Weber syndroom wordt veroorzaakt door dezelfde somatische GNAQ-genmutatie die verantwoordelijk is voor wijnvlekken. Wanneer deze mutatie zeer vroeg in de foetale ontwikkeling optreedt, kan het niet alleen de huidbloedvaten beïnvloeden, maar ook de ontwikkeling van bloedvaten in nabijgelegen structuren die uit dezelfde embryonale weefsellaag afkomstig zijn — specifiek het oog en het oppervlak van de hersenen.
Het resultaat is een triade van potentiële afwijkingen: een gezichts wijnvlek, abnormale bloedvaten op het hersenoppervlak (leptomeningeale angioma) en verhoogde oogdruk (glaucoom). Niet elke persoon heeft alle drie — SWS bestaat op een spectrum.
Er wordt geschat dat SWS 1 op de 20.000 tot 50.000 levende geboorten beïnvloedt. Het treft mannen en vrouwen gelijk en heeft geen raciale voorliefde.
De Drie Types van Sturge-Weber Syndroom
Type 1 — Klassiek SWS
De meest voorkomende vorm. Omvat gezichts PWS, leptomeningeale angioma (abnormale vaten op het hersenoppervlak) en mogelijke glaucoom of choroïdale oogbetrokkenheid. Aanvallen beginnen meestal binnen het eerste levensjaar. Ontwikkelingsstoornissen kunnen zich ontwikkelen.
Type 2
Inclusief gezichts PWS en mogelijk glaucoom, maar zonder bevestigde hersenbetrokkenheid. Symptomen kunnen hoofdpijn en migraine omvatten. Cerebrovasculaire afwijkingen kunnen nog steeds aanwezig zijn zonder het klassieke leptomeningeale angioma patroon.
Type 3
Hersenangioma betrokkenheid zonder gezichts PWS en zonder glaucoom. Deze vorm wordt alleen vastgesteld door hersenbeeldvorming, meestal wanneer een aanval of ander neurologisch symptoom onderzoek vereist.
Wat Is een Leptomeningeale Angioma?
De leptomeningen zijn de twee binnenste lagen weefsel die direct rond het hersenoppervlak wikkelen. In het Sturge-Weber syndroom groeien abnormale bloedvaten op deze membranen aan dezelfde kant van de hersenen als de gezichts wijnvlek. Deze vaten circuleren het bloed niet efficiënt, waardoor de zuurstoftoevoer naar het onderliggende hersenweefsel wordt verminderd.
Chronisch zuurstofgebrek hersenweefsel wordt elektrisch instabiel — wat aanvallen veroorzaakt — en begint uiteindelijk te sterven, leidend tot verkalking en verlies van hersenweefsel (atrofie). Dit is een progressief proces dat over jaren kan verergeren als aanvallen niet goed onder controle zijn.
Symptomen van Sturge-Weber Syndroom
A) Aanvallen
De meest voorkomende neurologische manifestatie. Aanvallen treffen ongeveer 75 procent van de SWS-patiënten, waarbij de meerderheid begint voor de leeftijd van 2. Ze beïnvloeden meestal één kant van het lichaam (contralateraal aan de hersenlaesie en de gezichts PWS). Aanvaltypes omvatten focale, tonische, atonische en myoclonische aanvallen. Tijdens een aanval kan de wijnvlek zichtbaar donkerder worden.
B) Stroke-achtige episodes
Tijdelijke episodes van spierzwakte, verandering van gezichtsveld en verwarring die lijken op beroertes maar worden veroorzaakt door vasculaire instabiliteit. Deze beginnen meestal voor de leeftijd van 2 en kunnen gedurende het leven terugkomen. Lage dosis aspirine wordt soms preventief gebruikt.
C) Hemiparese
Progressieve zwakte of verlamming aan één kant van het lichaam, zich ontwikkelend naarmate hersenweefsel in de loop van de tijd verloren gaat. De getroffen zijde is tegenovergesteld aan de gezichts PWS.
D) Cognitieve en ontwikkelingsgevolgen
Intellectuele beperking, ontwikkelingsvertragingen, leerstoornissen, ADHD en gedragsproblemen kunnen optreden. De ernst correleert sterk met aanval controle — individuen waarvan de aanvallen goed beheerd worden, hebben meestal aanzienlijk betere cognitieve resultaten.
E) Hoofdpijn en migraine
Terugkerende migraine is een erkend kenmerk, vooral in Type 2 SWS. Ze kunnen beginnen in de kindertijd of adolescentie.
F) Oogcomplicaties
Glaucoom, choroïdale hemangioma, netvliesloslating en gezichtsvelddefecten. Zie ons speciale artikel over wijnvlek en glaucoom voor volledige details.
G) Mond- en tandveranderingen
Gingivale hyperplasie, maxillaire overgroei, malocclusie en liphypertrofie komen voor in ongeveer 40 procent van de SWS-gevallen.
Hoe Wordt Sturge-Weber Syndroom Gediagnosticeerd?
SWS wordt gediagnosticeerd door klinische bevindingen te combineren met beeldvorming en specialistische evaluaties. De belangrijkste onderzoeken zijn:
• MRI hersenen met gadolinium contrast — de definitieve test voor leptomeningeale angioma. Toont abnormale versterking op het hersenoppervlak, vergrote choroïdale plexus en na verloop van tijd, gyriforme verkalkingen en hersenatrofie
• CT-scan — het beste voor het detecteren van de kenmerkende gyriforme (spoorweg rails) verkalkingen
• EEG (elektro-encefalogram) — meet elektr activity brain; asymmetric slowdown and epileptic spikes on the affected side in SWS
• Oogheelkundige onderzoek — meting intraoculaire druk, beoordeling oogzenuw, fundus onderzoek voor choroïdale hemangioma
• Neurologische onderzoek — beoordeling motorische functie, cognitieve ontwikkeling en aanval geschiedenis
Behandeling en Management
Er is geen genezing voor Sturge-Weber syndroom. Alle behandeling is gericht op het beheren van specifieke symptomen en het voorkomen van complicaties.
• Anti-aanval medicijnen — de primaire behandeling voor epilepsie in SWS. Doel is volledige controle over aanvallen om cognitieve achteruitgang te voorkomen
• Chirurgie — voor medicijn-resistente epilepsie kunnen focale resecties of hemisferectomie overwogen worden.
• Lage dosis aspirine — gebruikt bij sommige patiënten om stroke-achtige episodes te verminderen
• Glaucoom behandeling — medicinale oogdruppels, laser of chirurgie afhankelijk van ernst
• Lasertherapie — gepulseerde kleurstoflaser voor de wijnvlek geboortevlek
• Fysiotherapie — voor hemiparese en motorische ontwikkeling
• Ondersteuning bij onderwijs — voor ontwikkelingsvertragingen en leerstoornissen
• Psychologische ondersteuning — voor geestelijke gezondheid, gezien de aanzienlijke psychologische last
Belangrijk Een normale hersen-MRI op de leeftijd van één of ouder bij een kind met een PWS en zonder neurologische symptomen maakt significante hersenbetrokkenheid in de toekomst onwaarschijnlijk. Desalniettemin moet oogheelkundig toezicht voor glaucoom doorgaan ongeacht de bevindingen van hersenbeeldvorming. |
Onze artikelen

Over Aspilon
Aspilon wordt in België gemaakt en ontwikkeld in ons eigen laboratorium
Lees nu

Over Aspilon
Aspilon wordt in België gemaakt en ontwikkeld in ons eigen laboratorium
Lees nu

Educatief
Klippel-Trenaunay Syndroom (KTS) en wijnvlekken | Aspilon
Lees nu

Educatief
Klippel-Trenaunay Syndroom (KTS) en wijnvlekken | Aspilon
Lees nu

Educatief
Veranderingen in het Gezicht door Wijnvlekken: Huid, Weefsel & Tandheelkundige Complicaties | Aspilon
Lees nu

Educatief
Veranderingen in het Gezicht door Wijnvlekken: Huid, Weefsel & Tandheelkundige Complicaties | Aspilon
Lees nu

Educatief
Wijnvlek en Glaucoom: Oogdruk, Risico & Screening | Aspilon
Lees nu

Educatief
Wijnvlek en Glaucoom: Oogdruk, Risico & Screening | Aspilon
Lees nu
Onze artikelen

Over Aspilon
Aspilon wordt in België gemaakt en ontwikkeld in ons eigen laboratorium
Lees nu

Educatief
Klippel-Trenaunay Syndroom (KTS) en wijnvlekken | Aspilon
Lees nu

Educatief
Veranderingen in het Gezicht door Wijnvlekken: Huid, Weefsel & Tandheelkundige Complicaties | Aspilon
Lees nu

Educatief
Wijnvlek en Glaucoom: Oogdruk, Risico & Screening | Aspilon
Lees nu
Blijf op de hoogte!
Blijf op de hoogte!
Schrijf je in voor onze mailinglijst en ontvang 20% korting!
Meld je aan en ontvang 20% korting!